흉통의 원인과 진단 방법 알아보기

흉통은 많은 사람들이 경험할 수 있는 흔한 증상으로, 그 원인과 심각성은 다양할 수 있습니다. 흉통은 단순한 근육통부터 심각한 심장 질환까지 다양한 원인에 의해 발생할 수 있으며, 이에 대한 이해는 적절한 치료와 예방에 중요합니다. 이번 포스팅에서는 흉통의 정의와 원인, 증상, 진단 방법, 치료 및 예방 방법에 대해 자세히 알아보겠습니다.
흉통의 정의: 무엇이 흉통을 유발하는가?
흉통은 가슴 부위에서 느껴지는 통증이나 불편함을 의미합니다. 이는 여러 가지 원인에 의해 발생할 수 있으며, 각기 다른 증상과 강도를 가질 수 있습니다. 흉통의 원인을 정확히 이해하는 것은 적절한 치료를 받기 위한 첫걸음입니다. 흉통은 심장, 폐, 소화기관, 근골격계 등 다양한 신체 부위와 관련이 있을 수 있습니다.
흉통의 주요원인: 심장 질환부터 근육통까지
흉통의 주요 원인에는 심장 질환, 폐 질환, 소화기 질환, 근골격계 문제 등이 포함됩니다. 심장 질환의 경우 협심증이나 심근경색이 원인이 될 수 있으며, 폐 질환으로는 폐렴이나 기흉이 있습니다. 또한, 위식도 역류 질환이나 근육통 역시 흉통을 유발할 수 있습니다. 각 원인에 따라 흉통의 성격과 치료법은 다르게 접근해야 합니다.
흉통의 증상: 주의해야 할 경고 신호
흉통은 때때로 심각한 건강 문제의 신호일 수 있습니다. 특히, 가슴 중앙이나 왼쪽에서 압박감, 타는 듯한 느낌, 날카로운 통증이 지속되거나 심해질 경우 즉각적인 의료 평가가 필요합니다. 호흡 곤란, 식은땀, 어지러움, 메스꺼움 등의 증상이 동반된다면 더욱 주의가 요구됩니다. 이러한 경고 신호는 심장마비의 전조일 수 있으므로 신속한 대응이 필요합니다.
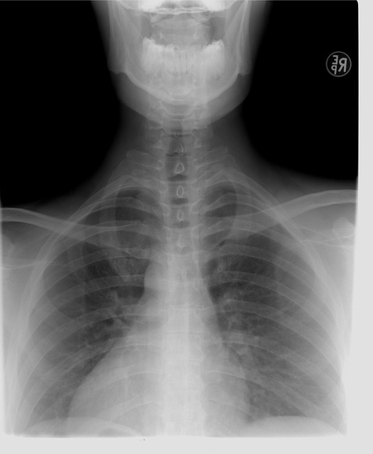
흉통의 진단 방법: 정확한 평가를 위한 절차
흉통의 진단은 환자의 병력 조사, 신체 검사, 그리고 다양한 진단 검사를 통해 이루어집니다. 심전도, 혈액 검사, 흉부 X선, 심장 초음파 등이 일반적으로 사용됩니다. 이러한 검사를 통해 흉통의 원인을 보다 정확히 파악하고, 적절한 치료 계획을 세울 수 있습니다. 정확한 진단은 효과적인 치료의 핵심입니다.
심인성 흉통: 스트레스와 불안의 영향
심인성 흉통은 스트레스와 불안이 주요 원인인 경우가 많습니다. 이는 실제로 심장 질환이 없음에도 불구하고 흉통이 발생하는 경우를 말합니다. 스트레스가 신체에 미치는 영향은 심각할 수 있으며, 이로 인해 흉통을 포함한 다양한 신체 증상이 나타날 수 있습니다. 심인성 흉통을 관리하기 위해서는 심리적 안정을 찾고 스트레스 관리 기법을 활용하는 것이 중요합니다.
흉통의 응급 상황: 즉각적인 조치가 필요한 경우
흉통이 심각한 상태로 발전할 수 있는 응급 상황에서는 즉각적인 의료 조치가 필요합니다. 특히, 심장마비가 의심될 경우, 빠른 시간 내에 응급실을 방문하는 것이 중요합니다. 응급 상황에서의 신속한 대응은 생명을 구할 수 있으며, 흉통의 원인에 따라 적절한 치료를 받을 수 있도록 합니다.
흉통 치료: 약물 요법과 비약물적 접근
흉통의 치료는 원인에 따라 다르게 접근합니다. 심장 관련 문제일 경우, 항혈소판제, 베타 차단제 등의 약물이 사용될 수 있으며, 폐 질환이나 소화기 질환에 따라 다른 약물 요법이 적용됩니다. 비약물적 접근으로는 생활 습관 개선, 스트레스 관리, 심리 상담 등이 포함됩니다. 이러한 치료 방법들은 장기적인 흉통 관리에 도움을 줄 수 있습니다.
흉통 예방: 위험 요소를 줄이는 방법
흉통을 예방하기 위해서는 생활 습관의 변화가 중요합니다. 금연, 균형 잡힌 식단, 규칙적인 운동은 심장 건강을 개선하고 흉통 발생 위험을 줄일 수 있습니다. 또한, 정기적인 건강 검진을 통해 잠재적인 건강 문제를 조기에 발견하고 관리하는 것이 중요합니다. 스트레스 관리 역시 흉통 예방에 중요한 요소입니다.
생활습관 변화로 흉통 개선하기
생활 습관을 개선함으로써 흉통을 줄일 수 있습니다. 식단 조절, 규칙적인 운동, 금연, 적절한 체중 유지 등의 변화는 심혈관 건강을 증진시키고 흉통의 발생 빈도를 낮출 수 있습니다. 또한, 스트레스 관리와 충분한 수면은 신체 전반의 건강을 개선하는 데 도움이 됩니다. 이러한 변화는 장기적으로 건강한 삶을 유지하는 데 기여할 것입니다.
흉통 관련 자주 묻는 질문과 답변
많은 사람들이 흉통에 대해 궁금해하는 질문들이 있습니다. 예를 들어, "흉통이 심장마비의 징후인가요?"라는 질문에 대해, 흉통이 심장마비의 징후일 수 있으나, 모든 흉통이 심장과 관련된 것은 아니며 정확한 진단이 필요하다고 답할 수 있습니다. "스트레스로 인해 흉통이 생길 수 있나요?"라는 질문에는 스트레스가 흉통을 유발할 수 있으므로 스트레스 관리가 중요하다고 설명할 수 있습니다.
흉통은 다양한 원인과 증상으로 나타날 수 있으며, 그 심각성에 따라 적절한 대처가 필요합니다. 흉통의 원인을 정확히 파악하고 적절한 치료와 예방 방법을 적용하는 것은 건강을 유지하는 데 중요합니다. 생활 습관의 개선과 정기적인 건강 검진을 통해 흉통을 예방하고 관리할 수 있습니다. 흉통에 대한 올바른 이해와 적절한 대처는 건강한 삶을 유지하는 데 큰 도움이 될 것입니다.
댓글